Can Dental Implants Be Placed If You Have Gum Disease?

Dental implants are one of the most reliable solutions for replacing missing teeth, restoring both function and appearance. However, one important factor that greatly influences dental implant success is the health of your gums. Patients often wonder if it is possible to receive a dental implant in Birmingham while also dealing with active gum disease. This is a critical question, as gum health plays a direct role in whether implants will bond successfully with the jawbone or face complications later.
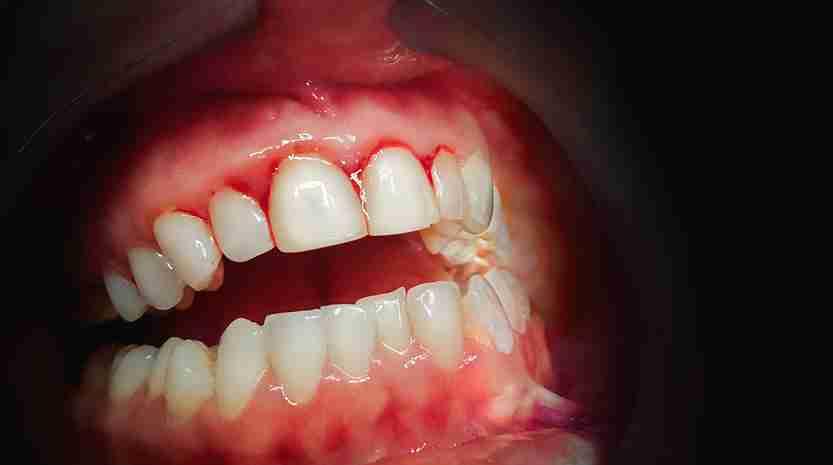
Understanding Gum Disease and Its Impact
Gum disease, medically known as periodontal disease, is a bacterial infection of the gums that progressively damages the soft tissue and bone surrounding the teeth. There are two main stages: gingivitis (milder early stage) and periodontitis (severe advanced form). When the infection progresses, it weakens the bone that holds the teeth in place and can lead to tooth loss.
For dental implants to succeed, they must be anchored firmly into healthy bone and supported by healthy surrounding tissue. If gum disease is uncontrolled, it compromises the foundation needed for implant placement. Patients with advanced periodontitis may face bone deterioration that makes implant integration more difficult, and in some cases, impossible without additional treatment such as bone grafting.This is why specialists are cautious about placing implants in patients with untreated gum disease Birmingham or elsewhere.
Can Implants Be Placed with Gum Disease?
The straightforward answer is no dental implants should not be placed while gum disease is active. However, with the right treatment strategy, many patients who previously suffered from gum disease can still become candidates for dental implants in Birmingham.
The condition must first be stabilised. Your dentist or periodontist will need to manage the infection through deep cleaning, scaling and root planing, antibiotics, or sometimes surgical intervention. Once the gums are free from active infection and the bone is assessed, patients can then move forward with implant treatment.
It is important to understand that past gum disease does not eliminate the possibility of implants altogether. Instead, it means the process requires more careful planning, stricter oral hygiene regimes, and regular follow-up appointments to maintain gum health.
Why Gum Health Matters for Dental Implants
If gum disease is present when a dental implant is placed, the risk of complications increases significantly. Untreated gum infection can lead to peri-implantitis, a condition similar to gum disease around implants, which causes inflammation and bone loss. This eventually results in implant loosening or outright failure.
Healthy gums and strong bone structure are needed not only to secure implants at the time of placement but also to ensure their long-term success. This makes the treatment of gum disease in Birmingham essential before pursuing any implant procedure.
Factors That Influence Dental Implant Success
Patients with a history of gum disease must consider several key factors before having implants placed. These factors determine whether implants can be placed safely and whether they will remain stable over time.
- Current status of gum health (active gum disease makes implant placement unsafe).
- Bone density and volume available for supporting the implant.
- Smoking habits, as smoking directly increases the risk of implant failure.
- Overall oral hygiene practices and commitment to regular cleaning.
- Ongoing dental check-ups for maintaining gum health post-implant placement.
By addressing these factors early, patients improve their chances of having a successful dental implant in Birmingham, even if they have had gum problems in the past.
Managing Gum Disease Before Implant Placement
Patients with gum disease must follow an appropriate treatment plan before implants can be considered. Typically, the approach involves professional dental cleaning and ongoing maintenance sessions. Sometimes, surgical treatments such as flap surgery or bone grafting may be recommended if significant bone loss is present.
The process can be broken down into three critical steps:
- Diagnosis and Cleaning– Removing plaque, tartar, and bacteria from beneath the gumline.
- Stabilisation– Ensuring gums are healed and infection is controlled before considering implant surgery.
- Assessment– Evaluating bone health through scans to determine whether supplementary procedures are needed.
This ensures that when a dental implant is placed, it has the best possible foundation for long-term stability.
Comparing Gum Disease Stages and Implant Candidacy
The relationship between gum disease stage and implant eligibility can be illustrated as follows:
Gum Disease Stage |
Effect on Implant Candidacy |
Recommended Action Before Implant Placement |
Gingivitis (early stage) |
Generally suitable after treatment |
Professional cleaning, hygiene maintenance |
Mild Periodontitis |
Possible with caution |
Deep cleaning, scaling, and improved oral care |
Advanced Periodontitis |
Limited suitability without additional treatment |
Surgical therapy, potential bone grafting |
Severe Bone Loss |
Implants may be difficult |
Bone grafting, sinus lift, or alternative options |
This table highlights why professional evaluation is so important before considering a dental implant. Patients with gum disease in Birmingham who seek implants must first undergo this process of assessment to ensure safe and effective outcomes.
Benefits of Treating Gum Disease Before Dental Implants
Resolving gum problems before implant placement not only ensures that the implant procedure succeeds but also enhances overall oral health. Patients who successfully manage gum disease often enjoy several benefits before receiving implants:
- Reduced risk of infection and implant failure.
- Improved gum and bone condition to support implants better.
- Long-term stability and lower likelihood of peri-implantitis.
This proactive approach ultimately leads to a greater success rate for implants and protects the investment patients make in restoring their smile.
Life After Implants: Importance of Hygiene
For anyone who has had gum disease and later received a dental implant Birmingham, oral hygiene is even more critical than for those without a gum health history. Daily brushing, interdental cleaning, and regular dental visits are essential to prevent new infections that could threaten implant stability.
Patients may also be advised to schedule periodontal maintenance therapies every few months, especially if they have suffered from advanced gum disease in the past. These visits involve regular cleaning around the implants and gums to stop plaque build-up before it becomes a problem.
Maintaining this consistency ensures that implants remain functional and stable for many years.
Conclusion
While gum disease can complicate implant placement, it does not always rule it out. Patients who once had gum problems can often become excellent candidates for implants if the condition is stabilised first. Specialist care, tailored treatment plans, and regular oral hygiene all play a vital role in ensuring implant success. At Smilo Dental Implants Birmingham, we are dedicated to helping patients restore their smiles with safe and effective implant treatments supported by outstanding gum health management.
- Art
- Causes
- Crafts
- Dance
- Drinks
- Film
- Fitness
- Food
- Spiele
- Gardening
- Health
- Startseite
- Literature
- Music
- Networking
- Andere
- Party
- Religion
- Shopping
- Sports
- Theater
- Wellness
