Gallbladder Polyps Treatment in Pune | Kaizen Gastro Care

0
10
Sngine 4521d4b3c08d48dca7ba23325e8f57c6

Gallbladder Polyps Treatment in Pune

Gallbladder polyps are tiny growths that can form on the lining of the gallbladder. These polyps are usually non-cancerous, but there is a small chance that they can turn into cancer over time. If you’ve been diagnosed with gallbladder polyps, it’s important to seek treatment from a qualified Gallbladder Polyps Specialist in Pune, Maharashtra.

At Kaizen Gastro Care, Specialists offer comprehensive Gallbladder Polyps Treatment in Pune. Our goal is to provide personalized care to each patient and ensure the best possible outcomes. 

Our experts Dr. Vikrant KaleBest Gastroenterologist & Gall Bladder Specialist in Pune, and Dr. Samrat JankarLaparoscopic Surgeon & Gallbladder Cancer Specialist in Pune are dedicated to providing the highest quality care for our patients.

We use the latest diagnostic and treatment techniques to ensure that you receive the best possible care. Our team of experienced gallbladder specialists will work with you to develop a personalized treatment plan that addresses your specific needs and concerns.

It’s vital to note that prevention is always better than cure when it comes to gallbladder polyps. With the proper care and treatment, most people with gallbladder polyps can lead healthy and fulfilling lives. Don’t hesitate to seek help from qualified gallbladder specialists if you are experiencing symptoms or have concerns about your gallbladder health. Dr. Samrat Jankar or Dr. Vikrant Kale can provide you with the expertise, experience, and compassionate care you need to achieve the best possible outcomes for your condition.

What is a gallbladder polyp?

गॉलब्लैडर पॉलिप क्या हैं?

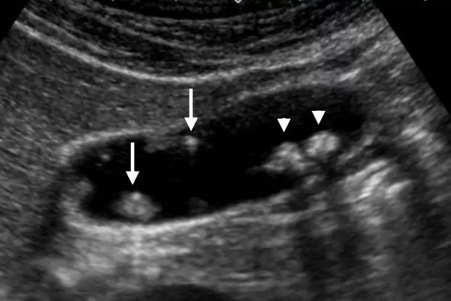
Gallbladder polyps are tiny growths of tissue that protrude out of the inside mucous lining of your gallbladder. These polyps are usually mild, which means they are not cancerous, & they are typically detected during regular imaging tests, such as an ultrasound or CT scan. In rare cases, they may induce complications such as inflammation, and about 5% of them may evolve cancerous.

How common are gallbladder polyps?

Gallbladder polyps are relatively common, & are estimated to be present in approximately 4-7% of the general population. They are more commonly found in women than men and are more common in individuals over the age of 50. The chance of developing gallbladder polyps is also higher in people with a history of gallstones or gallbladder disease, obesity, or certain genetic conditions. While most gallbladder polyps are mild and do not require treatment, it is important to monitor them regularly and seek medical attention if they cause any signs or are suspected to be cancerous.

What are the different types of gallbladder polyps?

There are several types of gallbladder polyps, which can be differentiated based on their appearance and microscopic differentiae. The most common types include:

  • Inflammatory polyps: These polyps are caused by chronic inflammation of the gallbladder wall and are often associated with gallbladder disease or infection. They are generally small and do not need treatment unless they cause symptoms.
  • Adenomas: These are a type of benign tumors that can develop in the gallbladder. They are normally small and do not cause signs, but in rare cases, they can evolve cancerous.
  • Cholesterol polyps: Also called Pseudopolyps, these are the most ordinary type of gallbladder polyps and are formed of cholesterol deposits. They are typically small and do not pose a substantial health risk.
  • Malignant polyps: These are usually adenocarcinoma, the most ordinary type of cancer that affects the inner organs.
  • Hyperplastic polyps: These polyps are also soft and are characterized by an overgrowth of typical gallbladder cells. They are less common than cholesterol polyps or adenomatous polyps.

What causes gallbladder polyps?

The exact cause of gallbladder polyps is not quite clear. However, several aspects may contribute to their development. Some of these factors include:

  • Age
  • Obesity
  • Women Gender
  • Obesity
  • Genetics
  • Cholesterol imbalance or salts in bile

What are the symptoms of Gallbladder Polyps:

In many cases, gallbladder polyps do not cause any signs and are discovered incidentally during imaging tests. However, in some chances, gallbladder polyps can cause symptoms such as:

  • Abdominal pain or discomfort
  • Fever
  • Nausea and vomiting
  • Jaundice
  • Changes in bowel movements
  • Loss of appetite

What are the complications of untreated gallbladder polyps?

Complications of untreated gallbladder polyps include:

  • Gallbladder cancer: The risk of developing gallbladder cancer increases with the size and number of polyps.
  • Biliary colic: Gallbladder polyps can cause blockages in the bile duct, leading to biliary colic, which is characterized by intense abdominal pain, nausea, and vomiting.
  • Cholecystitis: Gallbladder polyps can induce inflammation of the gallbladder, known as cholecystitis. Symptoms such as abdominal pain, fever, and nausea, and can lead to serious difficulties if left untreated.
  • Jaundice: If gallbladder polyps block the bile ducts, it can lead to a buildup of bilirubin in the blood, causing jaundice.
  • Pancreatitis: If gallbladder polyps cause tie-ups in the pancreatic duct, it can lead to pancreatitis, which is characterized by inflammation of the pancreas and can induce signs such as severe abdominal pain, nausea, and vomiting.
  • Choledocholithiasis: Gallbladder polyps may cause a jam of the common bile duct, which can lead to choledocholithiasis or the appearance of gallstones in the bile duct.

How are gallbladder polyps diagnosed?

Gallbladder polyps are typically found incidentally during imaging tests such as ultrasound, CT scan, or MRI performed for other reasons. If your gallbladder specialist suspects that you have gallbladder polyps, they may suggest additional tests to confirm the diagnosis and evaluate the size, location, and number of polyps present. These tests may include:

  • Physical history and examination: Understanding signs and checking for symptoms by a doctor are the basics of arriving at a diagnosis.
  • Ultrasound: This imaging test uses sound waves to produce images of the gallbladder and can catch the presence of polyps.
  • CT scan: This imaging test uses X-rays and computer technology to make detailed images of the gallbladder and surrounding structures.
  • MRI: This imaging test uses a magnetic field and radio waves to create images of the gallbladder and can provide clear information about the size, location, and characteristics of polyps.
  • Endoscopic ultrasound: This test involves inserting a small ultrasound probe into the digestive tract to obtain exact images of the gallbladder and surrounding structures.
  • Cholecystoscopy: This test involves inserting a small camera through a small incision in the abdomen to directly visualize the gallbladder and any polyps present.

How are gallbladder polyps treated?

The gallbladder polyps treatment in Pune relies on various factors such as the size, number, and characteristics of the polyps, as well as the presence of any symptoms. In general, small gallbladder polyps that are less than 1 cm in size and are not generating any symptoms do not need treatment and may be monitored with regular imaging tests.

If the polyps are causing signs such as abdominal pain or nausea, or if they are bigger than 1 cm in size or have certain characteristics such as rapid growth, irregular shape, or suspicion of cancerous changes, treatment may be necessary. The most common treatment for gallbladder polyps is surgery to remove the gallbladder (cholecystectomy).

What are the types of gallbladder polyps?

There are two types of gallbladder polyps removal surgery:

  • Open cholecystectomy: Open cholecystectomy might be needed when cancer is highly suspected. That’s because the surgeon may have to remove other involved tissues and lymph nodes above the gallbladder. An open cholecystectomy needs one bigger incision under the right ribcage to open up your gut. This is a long process with a lengthier recovery time.
  • Laparoscopic cholecystectomy: Laparoscopic cholecystectomy is a minimally invasive surgery that permits the Laparoscopic surgeon to remove your gallbladder via a few tiny incisions. Rather than opening up your gut, the surgeon inserts a slightly lighted camera called a laparoscope via one small incision and utilizes it to locate the gallbladder on a screen. Then they remove the gallbladder via another small incision. Surgeons choose to use the laparoscopic method when possible because it causes fewer complications and less healing time.

Advantages of the laparoscopic cholecystectomy:

The advantages of the laparoscopic cholecystectomy approach include:

  • Less postoperative pain
  • Shorter hospital stay
  • Quicker physical recovery
  • Less wound scarring
  • Fewer complications
  • Better cosmetic results

How to prevent gallbladder polyps?

There are several lifestyle modifications and risk factor transformations that may help decrease the risk of developing gallbladder polyps. Some preventive measures include:

  • Maintain a healthy weight
  • Avoid or limit alcohol consumption
  • Eat a healthy diet
  • Quit smoking
  • Manage underlying medical conditions: Certain medical conditions such as diabetes and metabolic syndrome may increase the risk of developing gallbladder polyps.

Why Choose Kaizen Gastro Care for Gallbladder Polyps in Pune:

  • Experienced Constipation Specialist Team: Kaizen Gastro Care clinic has a team of experienced gastroenterologists, including Dr. Samrat Jankar and Dr. Vikrant Kale, who has extensive expertise in the diagnosis and treatment of gallbladder polyps. They utilize the latest medical technologies and treatments to provide patients with the best possible care.
  • Convenient location: Kaizen Gastro Care Clinic is located at the Pune and PCMC Prime location i.e. Wakad Area. This is the central location of Pune City, making it easily accessible to patients from all parts of the city. The clinic is also equipped with modern amenities and facilities, ensuring patients feel comfortable and at comfort during their visits.
  • Advanced diagnosis and treatment: The clinic is well equipped with advanced diagnostic tools and state-of-the-art treatment options, including laparoscopic cholecystectomy, which is a minimally invasive surgical technique used to remove the gallbladder. This approach is associated with faster recovery times, less pain, and fewer complications compared to traditional open surgery.
  • Clinical Excellence: We have proven knowledge in handling even the most complicated issues accurately and exactly.
  • Personalized care: At Kaizen Gastro Care clinic we provide a personalized approach to patient care, tailoring treatment plans to each patient’s unique needs and medical history. They ensure that patients receive compassionate care and support throughout their treatment journey.
  • We Manage Your Care for the Long Term: We at Kaizen Gastro Care manage all gastro-related diseases for the long term. Kaizen Gastro Care manages the patients for the long term, taking regular follow-ups and long-term care.

Request a Call Back:

Dr. Vikrant Kale & Dr. Samrat Jankar at Kaizen Gastro Care team of highly specialized doctors offer trusted medical advice and expert private care for a wide range of Gallbladder Polyps and Gallbladder surgery. Don’t hesitate to get in touch with our best Gallbladder Polyps Specialist in PCMC, Pune if you’re experiencing symptoms of gallbladder polyps. For more information about our comprehensive treatment options, or to request an appointment with the best gastro clinic in Pune call 97 6363 5252

 

Поиск
Категории
Больше
Другое
Are Adwysd Joggers the First Joggers Made for Instagram Generations?
Instagram changed how people view and wear fashion. Outfits are no longer judged only in person...
От Abdul Moeez 2025-09-03 07:07:57 0 1Кб
Другое
OIS suspension wire market Business Opportunities, Future Industry Trends, Strategies, Revenue, Challenges, Top Players and Forecast 
According to a new report from Intel Market Research, the global OIS suspension wire market was...
От Vaishnavi Kalmase 2025-10-09 09:49:18 0 129
Другое
Sourcing Excellence: Mastering Baking with High-Quality Bread Flour UAE
The Necessity of Quality Bread Flour UAE for Professional Baking   In the competitive and...
От Shahmeer Khan 2025-11-10 17:23:48 0 209
Другое
Benefits of Camp Software for Camp Managers and Organizers
Managing a camp, whether for summer programs, sports training, or educational activities,...
От Sherin Sherin 2025-11-21 07:10:59 0 65
flexartsocial.com https://www.flexartsocial.com